£
Emersons Green
+44 7597 897114
Teodora Todorova
I have been doing the Invisalign treatment with Teo for almost a year now and I can say that she is incredibly talented. She is not just a dentist, she is a visual artist. My gums have also improved thanks to the treatment and I can’t thank Teo enough for that.
Everything’s been going well since my first consultation with her and her lovely team. Can’t wait to see the final result.
An effective long-term solution to straightening your teeth and correcting your bite is orthodontics. Orthodontics is a subspecialty area in dentistry that focuses on aligning and straightening teeth using wires and brackets, applying gentle pressure to the teeth to move them into a particular position. The discipline has advanced over decades and today treatment is a lot faster and more comfortable than it was in the past.


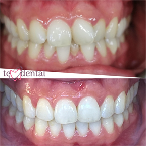
Invisalign is an orthodontic treatment that uses a series of clear braces, known as aligners. These aligners are created specifically for your teeth, with each set gradually moving your teeth into the desired position, perfecting your smile.
Invisalign has been known to correct a number of dental problems from under and overbites to overcrowded teeth.
![]() |
Other clear aligners | Traditional braces | |
|---|---|---|---|
| Made from SmartTrack material | |||
| In-person consultations with real dentists | |||
| Easily removable for eating, drinking & flossing | |||
| No emergency visits for broken wires | |||
| Virtually invisible | |||
| Made from traditional brackets and wires | |||
| Each aligner is trimmed to your gum line for optimal comfort and appearance |
Consultation
Your teeth will be assessed to see if they are suitable to be treated by Invisalign. Our Invisalign dentists in Emersons Green will discuss your Invisalign cost and treatment options.
Scan
We will take a digital model of your teeth so that you can see a 3D simulation of your new Smile.
Begin your treatment
By changing your Invisalign trays at home on a weekly basis your teeth will be changing into the final aligned position over a short period of time.
New Smile
Your beautiful new smile is now ready but we need to retain it by providing you with retainers.
Step 1:
You will be met by one of our Treatment Coordinators, Brooke or Emma
Step 2:
They will take you to their office where they will talk with you about your concerns, why you have chosen this particular treatment. They will also show you and explain how the treatment works
Step 3:
You will be brought to my surgery, where my nurse will do a 3D scan of your teeth
Step 4:
We will created an AI based simulation of your new smile
Step 5:
I will go through the scan results and smile simulation with you, exploring what your desires are, and what is achievable
Step 6:
Brooke or Emma will take you back to their office where they will discuss the financial aspect of the treatment and the available payment options
- photos and X-rays in the practice
- me planning the treatment, sharing with them, signing the consent forms
- start of the treatment
All our patients are placed on Dental Monitoring for a weekly monitoring of their progress. This gives me the opportunity to spot if an attachment is lost, or if some teeth are not tracking well- in that case we can rescan the teteh and twick the plan.
Invisalign is a clear aligner system designed to straighten teeth discreetly without the use of traditional metal braces.
Invisalign uses a series of custom-made clear aligners that gradually shift your teeth into the desired position. Each set of aligners is worn for about two weeks before being replaced with the next set in the series.
Invisalign offers several benefits, including virtually invisible aligners, removability for easy cleaning and eating, and fewer dietary restrictions compared to traditional braces.
Invisalign can treat a wide range of orthodontic issues, but it’s best to consult with an Invisalign provider to determine if it’s the right treatment option for you.
Treatment time varies depending on the complexity of your case, but on average, Invisalign treatment takes about 12 to 18 months.
For best results, Invisalign aligners should be worn for 20 to 22 hours per day, only removing them for eating, drinking (except for water), brushing, and flossing.
While you may experience some discomfort or pressure when starting a new set of aligners, it’s generally less painful than traditional braces.
Invisalign aligners should be cleaned regularly with a soft-bristled toothbrush and lukewarm water. Avoid using hot water, as it can warp the aligners.
It’s recommended to remove your Invisalign aligners before eating or drinking anything other than water to prevent staining or damaging the aligners.
Your dentist or orthodontist will schedule regular check-up appointments, typically every 4 to 6 weeks, to monitor your progress and provide you with new sets of aligners.
An effective long-term solution to straightening your teeth and correcting your bite is orthodontics.
Read More
If you are unhappy with the way your smile looks, you may be considering cosmetic dental treatment to improve the look of your teeth.
Read More
Do you or your partner suffer from breathing difficulties during sleep such as snoring or obstructive Sleep Apnoea? You might be pleased to know that dentistry may have a solution for you.
Read More
Surgery 5
Unit 5-7a St Lukes House
Emerson Way
Emerson's Green
Bristol, BS16 7AR
Email: info@teodoratodorova.co.uk
Tel: +44 7597 897114
Fields with (*) are required.
Please contact us via this website or email without disclosing confidential information.